市面上能看到的口腔医院、牙科诊所数量很多,而且有很多不同的品牌,对于病人来说,的时候这些医疗机构也是可以选择的,能够避免大医院排队久、等待时间长的弊端,并且这一类机构的效果也还挺不错的,还是挺值得选择的。防城港好百年口腔医院能以病人的需求为中心,进行各类口腔、牙齿领域的诊治,在当地具有良好声誉,虽说成立时间不长,但已经有了提供高品质口腔医疗服务的能力,并且技术也很不错。

一、防城港好百年口腔医院资料分享
地处城市中心区域,交通比较便利,聘请了很多行业中的专家坐诊,医生团队也有着高超的医疗技术水平,配备有精密的医疗器械,也有多台综合口腔椅,自2020年正式成立,提供的诊疗项目包括口腔外科手术、牙齿种植和牙齿修复等,基本涵盖到口腔诊疗领域的全方位,以卓越的技术而立足。

二、防城港好百年口腔种植牙案例
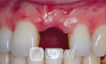
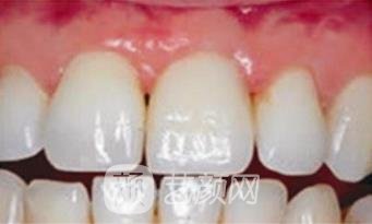
小时候身体出现了任何问题,父母都会用土方子,长大之后我也挺庆幸的,庆幸我活在一个医疗技术发达的年代,而且也没有遗传父母的这种想法,所以当我的牙齿出现问题以后,及时到口腔医院去进行了检查,医生诊断出问题所在之后,建议我可以做牙齿种植,所以我就决定了听从医生的建议,医生也协助我选好了种植体,希望一切都能顺利。

做种植的时候,满脑子都想的是术后有多好,根本没有时间去担心手术过程,因为这是医生该操心的事情,种植做的也比较快,一共用了一小时左右,操作流程结束,种植的牙齿看上去还蛮自然逼真的,光泽度不错,颜色和我的牙齿也挺相近的,后续恢复之后,用着硬度也挺合适。

防城港好百年口腔靠谱吗?能够采用国际先进技术,进行精准的分析和,医疗团队服务比较细致,成立之后广受好评,医院的知名度也在逐步提升,已经具备了解决口腔诊疗领域复杂问题的能力。
还有整形疑惑?想了解更多整形医院价格信息?可以点击
【在线咨询】与整形顾问一对一沟通,免费为您提供医院对比、医生对比、价格对比等服务喔~!