建议大家一定要认真的呵护自己的口腔环境,毕竟在身体健康方面,牙齿是很关键的,一旦遇到有各种各样的口腔问题,直接就会影响到营养的摄入,从而会导致身体方面的问题出现。樟木头天使口腔医院是东莞当地的本土口腔品牌,是魅力天使品牌旗下门店之一,已经在东莞开设了很多的连锁门店。

一、樟木头天使口腔医院怎么样?
天使口腔医院幼稚不逊色与公办医院的综合实力,特别是在口腔种植、口腔正畸、牙周疾病的调节上,已经开设有五大调节中心,就是为了能够给患者提供一个更好的调节服务,带来正规且高质量的体验,而且随着内部空间的逐步升级,打造了多间的专家诊室,之后也能够提供更加舒适的就业环境,不必担心自己的隐私会被暴露。
为了能够更好的方便患者的就诊,目前还提供了在线预约的医疗服务在就诊之后,还可以获取到电子病历和影像资料,也方便了患者之后再查询,给出的数据比较准确,由医生制定出个人的调节方案之后,能够解决大多数患者所遇到的口腔问题。

二、樟木头天使口腔医院医生资质概况介绍
易金平医生,从九江学院口腔医学院毕业之后,目前是医院口腔种植科的主要负责人,而且作为学科带头人的医生,在调节方面的技艺还是比较突出的。
黄灵威医生,毕业之后就一直从事于口腔的全科调节,无论是前牙还是后牙的复杂拔出以及美学修复,黄医生在这方面的实力都比较强。
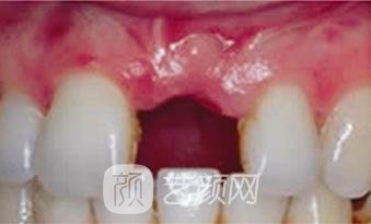
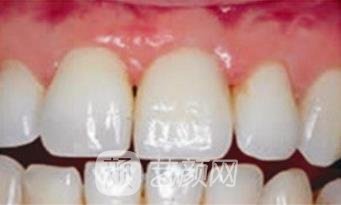
三、樟木头天使口腔医院种植牙案例

从小就教育我要保护好自己的牙齿,但是因为一次意外的原因,导致了牙齿的脱落,后来专门到医院做了牙齿种植项目的了解之后,感觉结合种植还是很不错的,虽然稍微有一点小贵,但因为能够恢复,也不会影响到自己的外在形象,种植之后大概有2~3周左右的时间,虽然医生说可以正常的吃东西,不过我还是尽可能的吃一些偏软烂的食物,弥补了牙齿的缺陷,还能够和周边的牙齿保持一致。

“樟木头天使口腔医院怎么样?”在当地人心目当中的口碑还是很不错的,毕竟是一家大型的口腔专科医院,能够进行的调节项目有很多,解决了不少患者所遇到的疑难问题,可以根据自己的实际居住地就近选择门诊部就诊。
还有整形疑惑?想了解更多整形医院价格信息?可以点击
【在线咨询】与整形顾问一对一沟通,免费为您提供医院对比、医生对比、价格对比等服务喔~!