免费热线
400-105-8500
首页 > 美丽资讯 > 整形日记>正文

沈阳斯美诺医疗美容诊所整牙果图分享

本文章由注册用户 上传提供

发布:2021-04-19 21:42 99 评论 纠错/删除

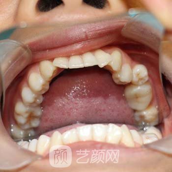
  我的牙齿不挤,尤其是上排的牙齿更挤,和别人说话都不敢笑。我是一个零后的女孩,在这个如花似玉的年纪,有这么丑的牙齿,太尴尬了。我怎样才能让我的牙齿变漂亮?这时,我的一个朋友向我推荐了沈阳斯美诺医疗美容诊所。她说她在这家医院做了全牙手术,果很好。看着朋友整洁洁白的牙齿,我很感动,准备去朋友推荐的沈阳斯美诺医疗美容诊所做全牙手术。

  我也在沈阳斯美诺医疗美容诊所的平台上咨询了全牙手术。平台上的姐姐给我推荐了几个牙医。我选择了院长,院长有丰富的经验和许多客户,所以很难预约。一周后终于订到了手术时间。

  院长较为平易近人,说话时面带微笑。他很好地分析了我在牙齿的情况。较后,医生说我的牙齿可以带牙套来矫正,并给我推荐了几个牙套。作为一个爱美的女生,隐形牙套是我的必然选择,这样别人就不会知道我做了正畸手术,我也会神秘地让牙齿变美。

  刚戴牙套的时候觉得有点不舒服,适应了几天就好了。我和朋友出去玩吃饭,没人发现我戴牙套。嘻嘻,这正是我想要的。

  过去一年后,我脱下牙套,牙齿变得整洁,牙齿变得漂亮,我的性格变得开朗,我变得喜欢说笑,并积极参加公司和私人的各种活动。正畸手术后,我每天早晚刷牙漱口,较为细心的照顾来之不易的牙齿。

  沈沈阳斯美诺医疗美容诊所价

  整形项目

  价格参考

  3DS超薄瓷贴面

  3713-8389

  牙齿瓷贴面

  1985-12704

  E-MAX

  1801-17471

  3D全陶瓷贴面

  2462-15238

  巨型隐形瓷贴面

  1901-16627

  美国白牙

  2729-16126

  瓷贴面

  2697-15430

  瓷牙填充

  2000-13641

  瓷牙植入

  1855-22511

  全陶瓷牙种植

  2903-25307

  合金瓷牙

  2438-30113

  贵金属瓷牙

  2654-29918

  氧化锆全陶瓷牙齿

  2512-31800

  插入假牙

  1670-11711

  牙冠

  2925-31626

  前突牙

  2756-30354

  牙髓牙

  2591-28932

  牙齿脱落了

  2463-28928

  微创种植

  2939-27112

  活动假牙

  2919-25890

  假牙

  2520-26365

  美容皇冠

  1365-3545

  龅牙矫正

  4098-12377

  迪堡亚矫正

  4321-10725

  胡亚矫正

  2774-10347

  牙齿参差不齐

  1261-12125

  牙齿稀疏

  1360-10080

  拥挤在牙齿

  4862-20799

  隐适美

  9615-80756

  隐形正畸

  7328-101498

  金属支架矫正

  8164-82306

  自锁托槽矫正

  8046-99077

  透明支架矫正

  9896-101436

  透明隐形矫正

  8464-85146

  隐形矫正

  8743-100116

  隐形牙套

  8674-87361

  牙齿挤满了矫正

  7745-103890

  迪堡田矫正

  8390-81140

  凸嘴矫正

  7606-102058

  金属托槽

  7667-80682

  半隐藏的矫正

  8083-89999

  陶瓷矫正

  9046-98370

  深覆盖颌

  8825-97531

  吊带

  7980-85239

  咬合不正

  7860-99187

  补牙

  809-11072

  修复在牙齿有缺陷

  1116-11818

  坏牙

  1481-10207

  龋齿

  1456-10814

  拔智齿

  1445-11481

  牙齿综合

  1387-12565

  根管调节术

  1372-11611

  牙周护理

  1265-10435

  牙渍

  1110-11416

  阻生牙

  1051-12277

  裂齿

  1370-10364

  多长牙齿

  1377-10804

  磨牙

  1381-10676

  Saiya

  1407-10381

  牙齿变大了

  1397-10011

  龋齿

  1399-12257

  牙齿断层

  1138-11404

  龋齿

  1223-12839

  牙洞

  1186-10238

  树脂填充牙

  1247-10248

  浅龋

  1218-12383

  中度龋齿

  1350-11560

  深龋

  1304-10769

  3M树脂填充牙

  1290-10150

  烂牙

  1397-12461

  牙齿龋齿

  1277-11788

  微创根管

  1091-12380

  牙痛

  1147-10533

  牙齿磨损

  1268-11440

  牙齿脱位

  1152-12755

  牙齿的创伤

  1377-10874

  超声波清洗

  435-2384

  咖啡美白牙齿

  424-2209

  喷抛清理

  335-2022

  白梅色素牙

  460-8331

  四环素牙美白

  485-7132

  洗牙

  385-2169

  牙齿冷光美白

  431-2255

  牙齿抛光

  373-1537

  牙齿漂白

  421-2140

  烟熏牙齿美白

  480-2030

  冷光美白

  416-2170

  牙齿美白

  405-2266

  黄白相间的牙齿

  420-2008

  氟斑牙

  439-2248

  变色牙齿美白

  441-2186

  美白黑牙

  402-2123

  茶色牙齿美白

  443-2248

  牙齿美白

  401-2138

  半口牙种植

  48930-140217

  单牙种植

  10765-27659

  多颗牙齿植入术

  25993-173284

  后牙植入术

  17378-58554

  前牙种植

  7948-36924

  完整种植牙

  73732-224702

  植入牙齿

  8796-17595

  瑞士ITI植入物/牙齿

  9449-17705

  美国3I种植牙/牙齿

  8224-20141

  德国费亚丹牙科植入物/牙齿

  11137-15204

  瑞典诺贝尔种植体/牙齿

  11286-15553

  德国伯杰植入物/牙齿

  9569-15819

  美国贝康植入物/牙齿

  8719-17314

  瑞典诺贝尔种植

  11360-20270

  ITI锆植入物/牙齿

  8055-16770

  韩国奥奇泰种植牙/牙齿

  6716-10259

  韩国Dentes种植牙/牙齿

  5023-9415

  韩国美格珍种植牙/牙齿

  5796-15006

  韩国登腾种植牙/牙齿

  5876-10056

  韩国dio种植牙/牙齿

  5576-10125

  德国ICX植入物/牙齿

  10621-19269

  法国安多建种植

  11227-16125

  进口种植牙/牙齿

  9187-18063

  国产种植牙

  5666-14815

  以上价格仅供参考。实际价格请去医院。