免费热线
400-105-8500
首页 > 美丽资讯 > 整形日记>正文

廊坊人民医院整形科牙齿矫正案例展示

本文章由注册用户 上传提供

发布:2021-01-07 22:43 84 评论 纠错/删除

  廊坊人民医院整形科成立于1946年。70年来,经过几代人的不懈努力,廊坊市人民医院从小到大,从弱到强,取得了长足的进步和质的飞跃。

  现已建成集医疗、科研、预防、保健、教学于一体的现代化大型综合医院,学科齐全,技术力量雄厚,设备先进,诊疗环境优越。

  廊坊人民医院整形科牙齿矫正手术结束已经一年多了。现在我已经成功摘下牙套,牙齿变得整洁,牙齿变得美丽,我的呼吸变得清新,我变得喜欢说笑,我整个人充满了自信。

  我真的很感谢整形科,廊坊人民医院的医生,矫正让我看起来如此美丽和自信,从此我的生活变得丰富多彩。其实我的脸很美,就是牙齿有点挤,有点歪斜。

  自从牙齿变得整洁后,整个人的气质也提高了很多。牙齿,美女急着去矫正,做手术牙齿牙齿也影响了面子。

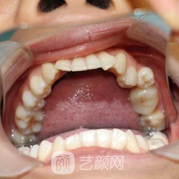
  在我去廊坊市人民医院整形科做牙齿矫正手术之前,我的牙齿拥挤而歪斜,较为不整洁。因为牙齿长得丑,我一直不敢笑。我性格开朗性感,变得有点内向。看着别人整齐洁白的牙齿,我无比羡慕。经过长期的思想斗争,我仍然选择去医院为牙齿矫正做手术。

  来医院后,我有点紧张。医院的环境温暖干净,医护人员较为热情。护士带我去了医生的办公室。医生人很好,和他交流很愉快。根据我在牙齿,的情况,医生说我可以在矫正戴牙套

  然后推荐了几款牙套,因为刚开始工作,手里没有多少钱,所以选择了经济型金属支架牙套。刚戴上牙套的时候,我的牙齿很不舒服,拒绝了这个异物。适应了一个星期,好多了。

  戴了这个牙套一年半,我成功摘下来了。牙齿如她所愿变得美丽。这是我在矫正,牙齿的整个运营经历,自从我的牙齿变得美丽,我的运气有所改良,我的业绩一直在上升。老板很赏识我,提拔我为部门经理。哈哈,我厉害吗?

  廊坊人民医院整形科价目表

  整形项目

  价格参考

  鼻中隔软骨隆鼻

  17367-63576

  玻尿酸隆鼻

  24660-72181

  硅胶隆鼻

  17276-61271

  假肢隆鼻

  17814-62051

  胶原蛋白隆鼻

  17648-64593

  隆鼻失败修复

  36637-93932

  膨体隆鼻

  24437-75721

  微晶瓷隆鼻

  17242-62788

  自体耳廓软骨隆鼻

  17876-55651

  自体肋软骨隆鼻

  17786-54436

  自体隆鼻

  15687-64446

  自体脂肪隆鼻

  24433-75136

  隆鼻埋线提升

  24501-71392

  耳廓软骨隆鼻

  24878-70431

  隆鼻价格

  24783-68610

  软肋隆鼻

  24201-73971

  注入隆鼻

  24269-79388

  隆鼻行动

  14515-51493

  达拉斯隆鼻

  24879-74828

  隆鼻假体取出术

  24946-73718

  隆鼻

  24892-74172

  网络名人隆鼻

  24690-79538

  隆鼻价目表

  24826-73351

  面部疤痕修复

  464-5309

  剖宫产疤痕修复

  759-8222

  修复烧伤疤痕

  468-15882

  外科疤痕修复

  409-16689

  烫伤疤痕修复

  412-16398

  眼睑疤痕修复

  1184-11034

  注射去除疤痕

  1429-6521

  广材祛斑

  2594-8436

  光子雀斑

  2709-10093

  化学去角质祛斑

  428-5698

  激光祛斑

  1591-11021

  去除老年斑

  1732-11618

  射频祛斑

  1903-10660

  鄂光祛痘

  2763-8750

  光子祛痘

  1573-9054

  红蓝光祛痘

  1745-8942

  激光祛痘

  1647-9061

  像素激光器

  1370-8610

  清针祛痘

  451-6337

  美容皇冠

  1154-3505

  龅牙矫正

  4391-12639

  迪堡亚矫正

  4859-11301

  胡亚矫正

  2651-10816

  牙齿参差不齐

  4273-25258

  牙齿稀疏

  4690-20986

  拥挤在牙齿

  5488-24436

  隐适美

  9404-83627

  隐形正畸

  7956-100674

  金属支架矫正

  7053-88824

  自锁托槽矫正

  8768-94411

  透明支架矫正

  9575-103791

  透明隐形矫正

  8403-100394

  隐形矫正

  8849-86441

  隐形牙套

  9955-92988

  牙齿挤满了矫正

  8999-85548

  迪堡田矫正

  9361-99307

  凸嘴矫正

  7899-94535

  金属托槽

  7765-102184

  半隐藏的矫正

  9931-102616

  陶瓷矫正

  9939-92758

  深覆盖颌

  8628-89355

  吊带

  9958-100576

  咬合不正

  9588-91363

  超声波法去除眼袋

  1406-5688

  激光去除眼袋

  1421-6224

  切开去除眼袋

  1151-6368

  修复,眼睛下面没有眼袋

  1492-6380

  通过全切去除眼袋

  1540-5700

  溶解脂肪,去除眼袋

  1129-4532

  射频消融术去除眼袋

  1268-5634

  剪下眼袋

  1636-7739

  抽脂和去除眼袋

  1419-6428

  指定双眼皮

  3640-22396

  多多益善双眼皮

  4063-24952

  韩式三甸双眼皮

  6473-25170

  朝鲜双眼皮

  6180-20523

  埋线双眼皮

  3207-16087

  欧洲双眼皮

  6106-22854

  切断双眼皮

  4336-29883

  双眼皮修复

  6571-31217

  微创双眼皮

  4003-20856

  眼睛浮肿的双眼皮

  9979-24939

  切断双眼皮

  9519-25206

  全切双眼皮

  7478-25587

  压线双眼皮

  9814-23326

  无缝双眼皮

  9523-25813

  拉双眼皮行动

  8967-25873

  将双眼皮定位在三点

  9045-21139

  以上价格仅供参考。实际价格请去医院。