免费热线
400-105-8500
首页 > 美丽资讯 > 整形日记>正文

天津市口腔医院整形科牙齿矫正案例一览~

本文章由注册用户 上传提供

发布:2020-12-10 23:04 64 评论 纠错/删除

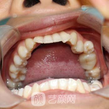
  较后,我下定决心来到天津市口腔医院整形科,你炫耀牙齿和整形,这么多年过去了,我真的承受了很大的心理压力,嘴巴的形象真的很丑。来到医院的这一刻,我真的很开心。

  医生检查了整个口腔后,我扫描了牙齿,我可以在电脑上完全看到我在牙齿的安排。医生说我的情况并不是特别糟糕,所以在牙齿,矫正的时间不必那么长。天津市口腔医院整形科做牙冠多少钱?果好吗?价格表费用标准在线一览

  等了十几天,我的牙套完全做好了。安装牙套的时候,能感觉到医生,天津市口腔医院整形科很用心,手法很温柔。没有感觉到什么不适,只是在装牙套的那一瞬间感觉有点不习惯。毕竟,和电线一样的东西被绑在牙齿,身上,这会让任何人感到不舒服。

  刚开始真的很痛苦。吃饭的时候经常卡在牙齿里,然后吃不下硬的东西,所以每顿饭对我来说都是一个考验。习惯了一个月后,慢慢习惯了,也就好了。

  自从我在矫正开了牙齿已经有半年多了,我很早就习惯了吃饭时牙齿被塞满的状态,而且吃完饭后我必须清理我的嘴。在过去的六个月里,我的牙齿发生了很大的变化。天津市口腔医院整形科医生说,过一会儿我就能完成我的牙齿调节,我很高兴。回想这几天的自己,真的很值得一天一天的来。

  整整一年后,我终于得到了医生的许可,可以摘下牙套了。其实还是觉得有点分不开。毕竟我已经磨合了300多天了。现在我的牙齿排列整齐了,再也看不到以前那种歪瓜裂枣了,笑容灿烂多了。

  天津口腔医院整形科项目价格表

  整形项目

  价格参考

  3DS超薄瓷贴面

  3508-8576

  牙齿瓷贴面

  1661-12885

  E-MAX

  1486-15550

  3D全陶瓷贴面

  2194-16900

  巨型隐形瓷贴面

  2454-15053

  美国白牙

  2061-16634

  瓷贴面

  2583-17847

  瓷牙填充

  1629-13487

  瓷牙植入

  1464-23899

  全陶瓷牙种植

  2878-30217

  合金瓷牙

  2607-25601

  贵金属瓷牙

  2561-28868

  氧化锆全陶瓷牙齿

  2917-29274

  插入假牙

  2853-25496

  牙冠

  2628-30435

  前突牙

  2972-26033

  牙髓牙

  2518-31579

  牙齿脱落了

  2911-26945

  微创种植

  2787-27754

  活动假牙

  2887-26220

  假牙

  2481-28806

  美容皇冠

  1365-3699

  龅牙矫正

  4226-11911

  迪堡亚矫正

  4935-11173

  胡亚矫正

  2566-12315

  牙齿参差不齐

  4638-24345

  牙齿稀疏

  4542-25532

  拥挤在牙齿

  5275-24637

  隐适美

  8987-90025

  隐形正畸

  8736-85491

  金属支架矫正

  7571-88744

  自锁托槽矫正

  9648-81544

  透明支架矫正

  7271-86963

  透明隐形矫正

  9604-85402

  隐形矫正

  9136-92057

  隐形牙套

  7840-83355

  牙齿挤满了矫正

  9959-96370

  迪堡田矫正

  8709-81868

  凸嘴矫正

  8236-97765

  金属托槽

  8866-87652

  半隐藏的矫正

  9984-92225

  陶瓷矫正

  9624-89409

  深覆盖颌

  8593-91580

  吊带

  9474-88412

  咬合不正

  8526-81495

  超声波清洗

  497-2137

  咖啡美白牙齿

  414-2131

  喷抛清理

  324-2360

  白梅色素牙

  412-8124

  四环素牙美白

  441-7373

  洗牙

  394-2371

  牙齿冷光美白

  482-2321

  牙齿抛光

  377-1600

  牙齿漂白

  401-2063

  烟熏牙齿美白

  447-2266

  冷光美白

  444-2252

  牙齿美白

  455-2310

  黄白相间的牙齿

  434-2008

  氟斑牙

  420-2057

  变色牙齿美白

  482-2222

  美白黑牙

  474-2196

  茶色牙齿美白

  417-2124

  牙齿美白

  400-2032

  半口牙种植

  51763-123264

  单牙种植

  14885-29244

  多颗牙齿植入术

  28184-150385

  后牙植入术

  18576-58378

  前牙种植

  7470-38081

  完整种植牙

  83467-215668

  植入牙齿

  5257-19133

  瑞士ITI植入物/牙齿

  9173-17964

  美国3I种植牙/牙齿

  8096-18755

  德国费亚丹牙科植入物/牙齿

  8623-18771

  瑞典诺贝尔种植体/牙齿

  9815-15681

  德国伯杰植入物/牙齿

  9321-15565

  美国贝康植入物/牙齿

  8158-18704

  瑞典诺贝尔种植

  8256-17635

  ITI锆植入物/牙齿

  9905-18340

  Aochitai植入物/牙齿

  9595-15860

  韩国Dentes种植牙/牙齿

  9570-16092

  韩国奥奇泰种植牙/牙齿

  8656-18731

  韩国登腾种植牙/牙齿

  8722-18947

  进口种植牙/牙齿

  9410-15848

  国产种植牙

  5129-14569

  以上价格仅供参考。实际价格请去医院。